Facette dentaire

Une facette dentaire est une fine couche de matériau (généralement en céramique ou en composite) qui est placée sur la surface visible des dents pour améliorer leur apparence. Elle est utilisée principalement pour des raisons esthétiques, mais peut également avoir une fonction réparatrice. Voici plus de détails :

facette-dentaire

Objectifs des facettes dentaires

  1. Amélioration de l’apparence esthétique : Les facettes peuvent corriger plusieurs imperfections esthétiques des dents, comme :
    • Les dents décolorées ou tachées, qui ne réagissent pas bien au blanchiment dentaire.
    • Les dents usées, abîmées ou ébréchées.
    • Les dents mal alignées ou avec des espaces entre elles.
    • Les dents irrégulières ou de formes inesthétiques.
  2. Restauration : Les facettes peuvent également être utilisées pour réparer des dents qui ont subi des dommages mineurs, comme des fissures ou des ébréchures.

 

Résultats durables et naturels : Les facettes céramiques, en particulier, offrent des résultats esthétiques très naturels, car elles imitent l’apparence de l’émail dentaire. Elles sont également résistantes aux taches et à l’usure.

Types de facettes

  1. Facettes en céramique (porcelaine) : Ce sont les plus courantes et les plus esthétiques, car elles imitent parfaitement la texture et la couleur des dents naturelles. Elles sont également très résistantes aux taches et durables.
  2. Facettes en composite : Ces facettes sont faites d’un matériau plastique composite, qui est modelé directement sur la dent. Elles sont moins chères que les facettes en céramique, mais peuvent être moins durables et plus sujettes aux taches avec le temps.

Le processus de pose de facettes

  1. Consultation et planification : Le dentiste évalue la forme, la couleur et l’état des dents et discute des résultats souhaités avec le patient.
  2. Préparation de la dent : Un léger retrait de la surface de la dent peut être nécessaire pour que la facette adhère correctement et n’apparaisse pas trop volumineuse. Cela peut impliquer l’élimination d’une fine couche d’émail.
  3. Prise d’empreinte : Une empreinte de la dent préparée est prise, pour fabriquer la facette sur mesure dans un laboratoire dentaire.
  4. Pose de la facette : Une fois la facette prête, elle est testée pour s’assurer qu’elle s’adapte bien à la dent et qu’elle correspond à la couleur et à la forme souhaitées. Elle est ensuite fixée définitivement à l’aide d’un ciment spécial, puis durcie à l’aide d’une lumière spéciale.

Avantages des facettes

Esthétiques : Elles offrent un rendu très naturel.

Durabilité : Les facettes en céramique sont résistantes aux taches et durables.

Rapides : Le processus est généralement rapide, avec une préparation minime des dents.

avantage-facette

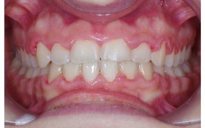
AVANT

avantage-facette2

APRÈS

Inconvénients

Irreversibilité : Une fois posée, la facette est permanente, car une partie de l’émail de la dent est enlevée pour permettre son installation.

Coût : Les facettes en céramique sont relativement coûteuses.

Fragilité : Bien que durables, les facettes peuvent se fissurer ou se casser si elles sont exposées à des forces excessives (comme le bruxisme ou mordre des objets durs).

inconvenients-facette

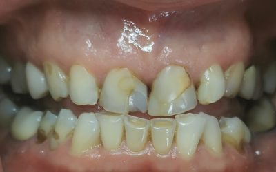
AVANT

inconvenients-facette2

APRÈS